Scott

Golden Retriever Scott

Scott – Golden Retriever

Historia clínica y anamnesis

Macho no castrado, 8 años.

El paciente se presenta en su veterinario por pérdida de peso marcada, anorexia y apatía (no vómitos ni diarreas). A la exploración realizada por su veterinario, el paciente no presenta alteración ganglionar, la palpación abdominal normal, TRC>2seg, mucosas sonrosadas, no hipertermia, respiración normal y auscultación cardíaca y pulmonar sin detectarse ruidos anómalos.

Su veterinario le realiza analítica sanguínea completa (hemograma y bioquímica) y presenta valores dentro de la normalidad. Se realiza test parasitario y da positivo a Filaria. Es en este momento cuando su veterinario solicita el servicio de Dxia para realizar estudio ecocardiográfico y confirmar/descartar la existencia de Filaria cardíaca.

Estudio ecocardiográfico realizado por DXIA

Algunas de las mediciones obtenidas durante el estudio:

Scott tabla 1

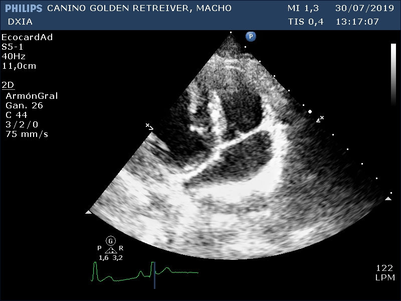
Dos imágenes obtenidas durante el estudio ecográfico:

Ecocardiograma DXIA Scott

Corte apical craneal izquierdo optimizando cámaras derechas y VT. No se detecta la existencia de Filarias adultas cardíacas ni dilatación en cámaras derechas.

Ecocardiograma DXIA Scott

Doppler de la VP donde se observa flujo laminar con velocidad máxima de la pulmonar dentro de valores normales para la especie canina.

 

Conclusión del estudio ecocardiográfico

  • Válvulas cardíacas normoimplantadas sin cambios morfológicos ni hemodinámicos significativos. No se detectan jets turbulentos. Doppler (2D, MM, FW Y CW) valvulares normales.
  • No dilatación de cámaras ni cambios en grosores de las paredes cardíacas.
  • No cambios compatibles con existencia de HP.
  • Función sistólica y diastólica conservadas.

Por tanto, estudio compatible con la no existencia de cardiopatía actualmente en dicho paciente. Corazón sano. Se realizan varios cortes ecográficos debido a que el paciente ha dado positivo en un test a Filaria y se descarta la existencia de filarias adultas cardíacas en el momento del estudio o cambios compatibles con hipertensión pulmonar.

Se comenta con su veterinario que el no observarse filaria adulta cardíaca y el paciente presentar tanta sintomatología sería recomendable realizar estudio ecográfico abdominal. El veterinario habla con su cliente y en esa misma visita se decide realizar dicho estudio.

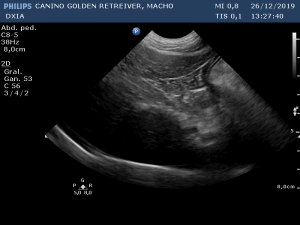
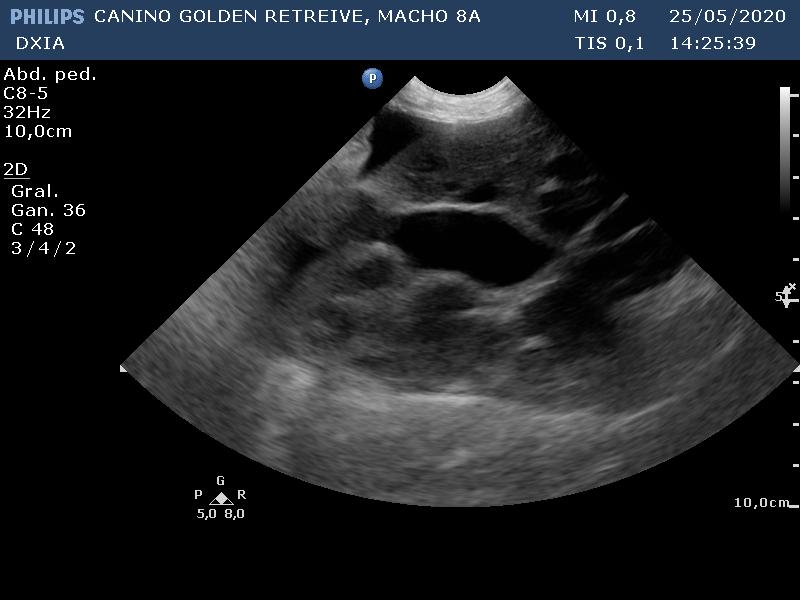
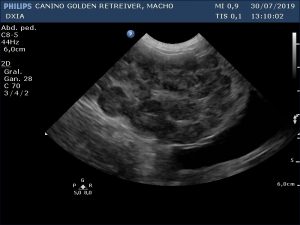
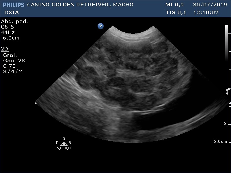
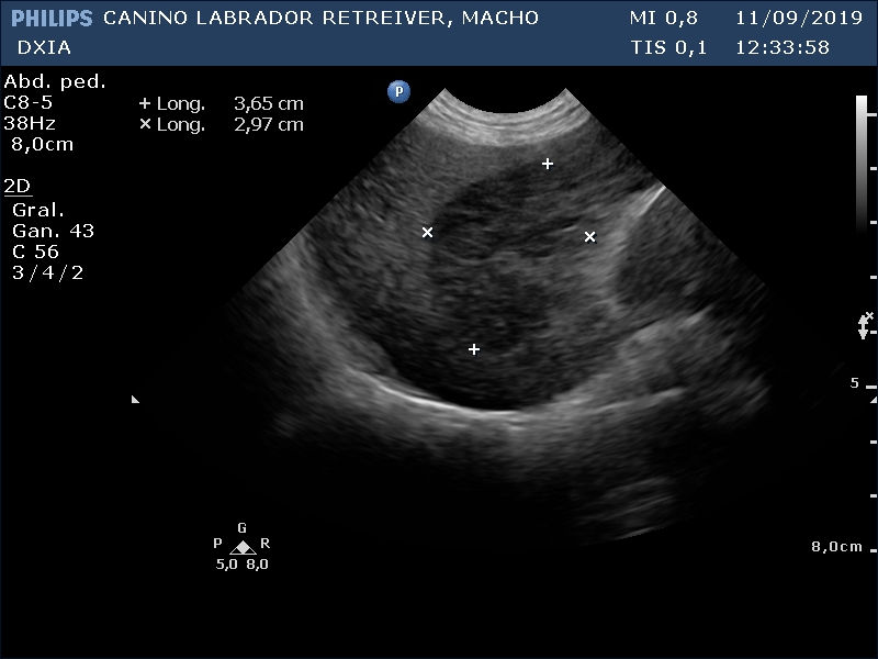
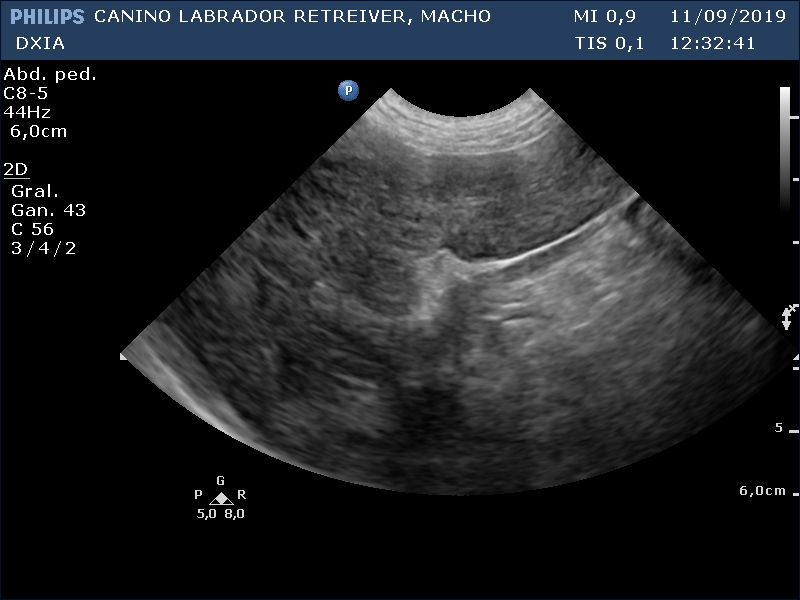
Estudio ecográfico abdominal realizado por DXIA

Resultados obtenidos del estudio ecográfico abdominal realizado:

Ecografía Abdominal DXIA Scott

Bazo. No esplenomegalia. Parénquima esplénico homogéneo y normoecoico.

 

Ecografía Abdominal DXIA Scott

Lóbulo hepático.

Parénquima hepático homogéneo en lóbulos caudal a la vesícula biliar y lóbulo derecho próximo al estómago, pero en el resto del hígado se observa hepatomegalia (al presentar bordes hepáticos redondeados) junto con patrón marcado nodular que le da heterogenicidad. Se realiza PAF ecoguiada para su posterior análisis anatomopatológico, pero si no es suficiente la muestra se requerirá la realización de biopsia.

Vesícula biliar con pared fina e hiperecogénica. No presencia de barro biliar.

Conclusión del estudio ecográfico abdominal

Sólo se observa alteración en parénquima hepático resto de vísceras abdominales incluidas los ganglios eran normales. Debida a la poca carga parasitaria que presenta el paciente (no se han detectado Filarias adultas a nivel cardíaco) no se considera, en principio, entre los diferenciales que dicha alteración hepática sea secundarias a Filarias erráticas. Por lo que se decide realizar PAF en ese mismo estudio, siempre con consentimiento de su propietario.

Tras el estudio, Dxia se pone en contacto con compañero especialista en Canarias, el cual confirma que debemos tener algo más que una Filaria para presentar dichos cambios hepáticos.

Resultados de la PAF Ecoguiada obtenida durante  el estudio ecográfico abdominal realizado por DXIA

Se obtiene un diagnóstico de LEUCEMIA. El oncólogo posteriormente confirma que se trata de una leucemia acantonada y comenta a su veterinario que son poco frecuentes y que se trata del segundo caso visto por él.

Proceden a tratamiento para la Leucemia. De momento no se realiza tratamiento para la Filaria.

Revisiones y seguimiento del paciente

Por indicaciones del Oncólogo, se realizan revisiones ecocardiográficas sin observarse alteraciones debidas a la quimioterapia. También se realizar revisiones ecográficas abdominales para verse evolución del parénquima hepático con el tratamiento de quimioterapia.

Durante los estudio ecográficos se observa marcada mejoría del parénquima hepática con reducción de la zona afectada y disminución de ese aspecto nodular observado en estudios previos.

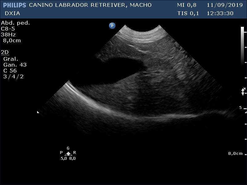
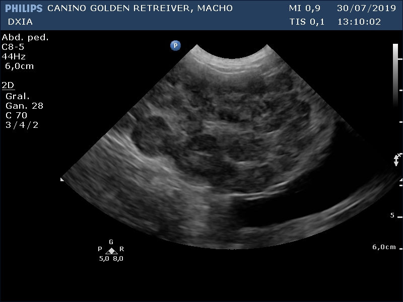
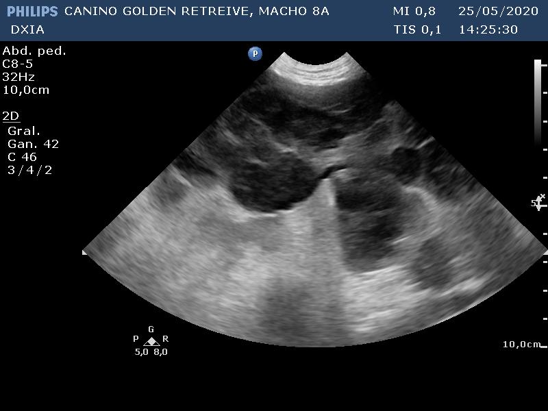
Estas son varias imágenes obtenidas del parénquima hepático:

Parénquima Hepático DXIA Scott

 

Parénquima Hepático DXIA Scott

 

Parénquima Hepático DXIA Scott

 

Evolución del paciente y situación actual

En la actualidad, el paciente ha recuperado peso, está comiendo con apetito, vuelve a estar activo y presenta una vida normal.

Tras normalizarse, después de los ciclos de quimioterapia, la imagen ecográfica del hígado y con las revisiones tanto ecográficas abdominales como ecocardiográficas realizadas por recomendación de su Oncólogo, el paciente está dado de “alta” por el servicio de Oncología, aunque requiere vigilancia y es por ello que únicamente se recomienda revisiones.

Dado que el paciente estaba diagnosticado de Filaria por test rápido, su veterinario decidió confirmar por laboratorio, saliendo negativo.

Previo a cada nuevo ciclo de quimio, además de la repetición de la ecocardio, se realiza control analítico por recomendación del oncólogo.

Tabla última ecocardio previa a último ciclo de quimioterapia:

Scott tabla 2

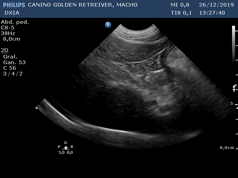
Revisión imágenes obtenidas del parénquima hepático

 

 

 

Primera Imagen Hígado DXIA Scott
Primera Imagen Hígado donde se obtuvo la PAF
Revisión Imagen Hígado DXIA Scoot
Revisión Imagen Hígado a mitad de quimio
Última Imagen Hepática DXIA Scott
Última Imagen Hepática ante último ciclo de quimio

 

 

 

 

 

 

 

 

 

 

 

 

 

 

 

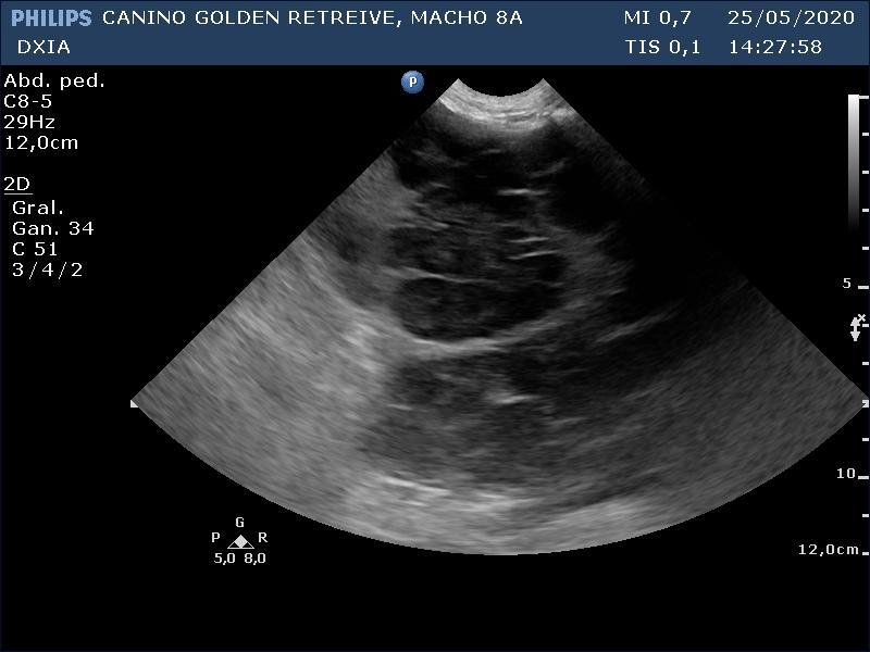
Desenlace caso Scott

(Post actualizado con fecha 5 de junio de 2020)

 

Pasado el tiempo, Scott presenta recaída tras darse el alta al finalizar la quimio hace 3-4 meses.

La semana pasada nos llaman desde su centro veterinario para realizar un estudio ecocardiográfico ya que ha recibido de nuevo un ciclo de quimio tras recaída y revisión abdominal.

En el ecocardio, gráficamente no hay alteraciones. En la ecografía abdominal, hay gran distensión por presencia de líquido libre abdominal y alteración de todo el parenquima hepático (patrón modular marcado) con hepatomegalia.

SCOTT_CANINO GOLDEN RETREIVE-desenlace01

SCOTT_CANINO GOLDEN RETREIVE-desenlace02

 

SCOTT_CANINO GOLDEN RETREIVE-desenlace03

 

SCOTT_CANINO GOLDEN RETREIVE-desenlace04

 

Finalmente, el paciente empeoró a las 48h y la propietaria tuvo que despedirse de él.

Desde DXIA hoy decimos adiós a Scott. La verdad es que cuando ves a un propietario con tanto amor hacia su perro y con tantas ganas de pelear por él, solo piensas en que debería salvarse. Por desgracia, el final no ha sido así y hemos tenido que despedirnos de Scott y, lamentablemente, su propietaria no podrá seguir disfrutando de su compañía. Desde aquí, nuestro fuerte abrazo a ella, por el momento que está pasando y por todo lo que ha hecho por Scott.

Share:

Deja una respuesta

Tu dirección de correo electrónico no será publicada. Los campos obligatorios están marcados con *

Esta web utiliza cookies propias y de terceros para su correcto funcionamiento y para fines analíticos. Contiene enlaces a sitios web de terceros con políticas de privacidad ajenas que podrás aceptar o no cuando accedas a ellos. Al hacer clic en el botón Aceptar, acepta el uso de estas tecnologías y el procesamiento de tus datos para estos propósitos. Ver
Privacidad