Historia Clínica Nina
Hurón de 1 año de edad, hembra no esterilizada.
Sintomatología: pérdida de peso, apatía.
Su veterinario solicita estudio ecográfico a DXIA para estudio de glándulas adrenales.
Algunas imágenes obtenidas durante el estudio
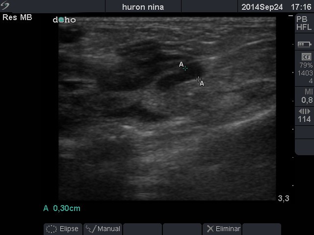
Se realiza estudio ecográfico abdominal.
En el estudio del riñón izquierdo se observa pérdida de morfología ecográfica renal con presencia de estructura ovalada de paredes finas y contenido anecogénico compatible con posible quiste renal.
Glándula adrenal izquierda globosa con aumento de tamaño (0,79cm).
Hiperplasia adrenal izquierda.
Glándula adrenal derecha anecogénica, tamaño 0,30cm; econormal.


