Max

raza schauzer

Historia Clínica Max

Schnauzer macho sin esterilizar.

La propietaria lo lleva a la clínica porque el paciente presenta fatiga, intolerancia al ejercicio y apatía desde hace 2 meses.

Su veterinario decide hacer estudio ecocardiográfico a pesar de que en el estudio radiográfico de tórax no se observan alteraciones significativas.

Imágenes obtenidas durante el estudio ecocardiográfico

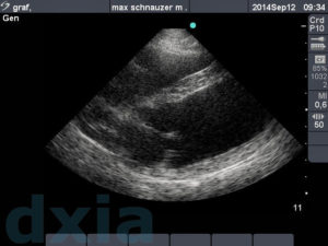
paraesternal max
Paraesternal derecho eje largo

No se observa dilatación de cámaras cardíacas. Septo IV normal. Válvulas mitrálica y tricuspídea normoimplantadas y sin alteraciones morfológicas.

Eje corto max
Eje corto derecho

No aplastamiento del septo IV. Contracción conservada. Base cardíaca. No dilatación de aurícula izquierda.

apical craneal max
Apical craneal izquierdo 4 c

Válvulas normoimplantadas y sin alteraciones. No dilatación de cámaras.

Estudio electrocardiográfico

ecg max bradiarritmia o sss
ECG (1) antes de tratamiento médico

 

ECG con tratamiento médico
ECG (2) con tratamiento médico

 

 

 

 

 

 

 

 

ECG (1). Se realiza estudio electrocardiográfico con el paciente en posición de cuatro estaciones.

Presenta un ritmo regular con una frecuencia cardíaca inferior a 60lpm, por tanto, es compatible con Bradiarrtima Sinusal o Síndrome del Seno enfermo (SSS)

ECG (2). Realizado estudio electrocarfiográfico después de someter al paciente con un tratamiento médico ya asintomático.

 

Pruebas complementarias

analiticas

 

 

 
 
 
 
 
 
Resolución del caso

Se realiza tratamiento médico y en la revisión se observa mejoría del ECG, además de que el paciente ya no presenta sintomatología.

En este caso no ha sido necesario la realización de Holter dada la evolución adecuada del paciente, aunque en principio se recomendó su realización.

El paciente presenta actividad normal, está contento y la propietaria comenta que vuelve a querer salir de paseo y que está juguetón.

Se repite electrocardiograma y se observa aumento de la frecuencia cardíaca.

Share:

Deja una respuesta

Tu dirección de correo electrónico no será publicada. Los campos obligatorios están marcados con *

Esta web utiliza cookies propias y de terceros para su correcto funcionamiento y para fines analíticos. Contiene enlaces a sitios web de terceros con políticas de privacidad ajenas que podrás aceptar o no cuando accedas a ellos. Al hacer clic en el botón Aceptar, acepta el uso de estas tecnologías y el procesamiento de tus datos para estos propósitos. Ver
Privacidad