En este post os traemos dos casos donde vamos a analizar la CMD en las razas grandes.
Para ello, contaremos con dos casos, Rita y Jordan. Como peculiaridad los dos presentan:
- Arritmia cardiaca; Fibrilación atrial
- En ambos casos se observa un engrosamiento nodular de las valvas de la VM, siendo más marcado en el caso de Rita (en Jordan es más útil y se observa únicamente en valva septal de la VM); lo cual podría definirse como posible proceso degenerativo de la VM.
¿CMD y/o DVM? Esta pregunta la dejamos en el aire para que cada uno de vosotros pueda formarse y expresar su opinión.
Caso 1 – RITA
Hembra esterilizada cruce de Mastín. Se presenta en su Veterinario unos días antes porque presentaba una posible bursitis en el codo de su extremidad anterior derecha. Su Veterinaria al observar pérdida de peso recomiendas analítica sanguínea. La paciente vive en una nave industrial, pero esta con pauta de vacunas y desparasitación correcta.
Analítica sanguínea realizada por su Veterinaria a finales de Enero.
La paciente no vuelve a acudir a su Veterinario hasta el 11 de febrero a pesar de que su Veterinario la cita previamente. Entonces, tras tres semanas de la primera visita, acude y aparece con marcado distrés respiratorio (40rpm), ascitis con gran distensión abdominal, apatía, anorexia, pérdida de peso. Su veterinario decide solicitar estudio ecográfico abdominal a Dxia.
RESULTADOS ESTUDIO ECOGRÁFICO ABDOMINAL
Durante el estudio ecográfico abdominal se observa:
- Marcada presencia de líquido libre abdominal con celularidad.
- Hepatomegalia con parénquima homogéneo.
Resto de órganos abdominales sin alteraciones significativas. Se comenta a la Veterinaria que se cree que la causa puede ser cardiaca, y tanto su Veterinaria como su propietario acceden a realizar estudio ecocardiográfico.
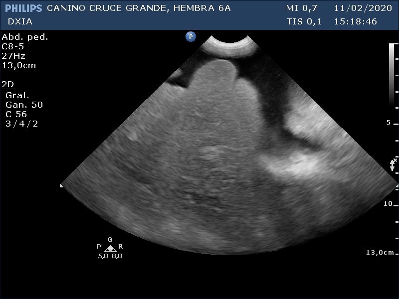
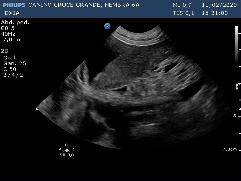
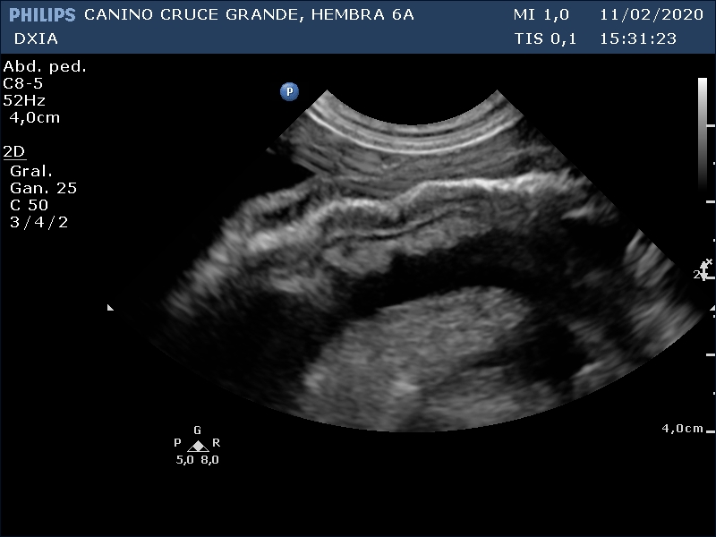
Se incluyen 3 imágenes del estudio:
Parénquima hepático homogéneo. Bordes hepáticos redondeados (Hepatomegalia). Presencia de líquido libre abdominal.
Presencia de líquido libre abdominal. Bazo; no esplenomegalia, parénquima homogéneo. Se observa pequeño nódulo.
Asas intestinales flotando en líquido libre abdominal
Comentario respecto al estudio ecocardiográfico:
- Derrame pericárdico sin taponamiento cardiaco.
- Marcada dilatación de cámaras cardiacas.
- Engrosamiento nodular de la VM compatible con posible enfermedad degenerativa.
- Flujo regurgitante mitrálico y tricuspídeo.
- FA, SSPVE, IE compatible con CMD.
- ECG: Fibrilación atrial de base con presencia de CPVs aislados.
CONCLUSIÓN:
La paciente presenta CMD con cambios nodulares en las valvas de la VM ¿CMD Y/O DVM?
Se mandó estabilizar con hospitalización.
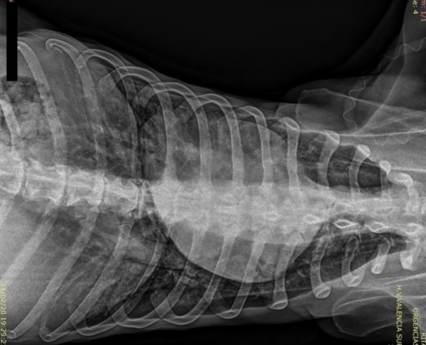
Tras el proceso de estabilizar el distrés respiratorio que presentaba, se realiza estudio radiográfico del tórax
Y se recomienda:
- Analítica tiroides.
- ECG completo.
- Revaluar estudio radiográfico tórax.
- Revisión ecocardio.
- Revisión electrolitos y control renal completo.
- Valorar realizar marcadores cardiacos.
Rita, nuestra paciente, a día de hoy, continua estable.
CASO 2 – JORDÁN
Gran danés macho de 8 años. Se presenta en su clínica con distrés respiratorio, apatía y pérdida de apetito.
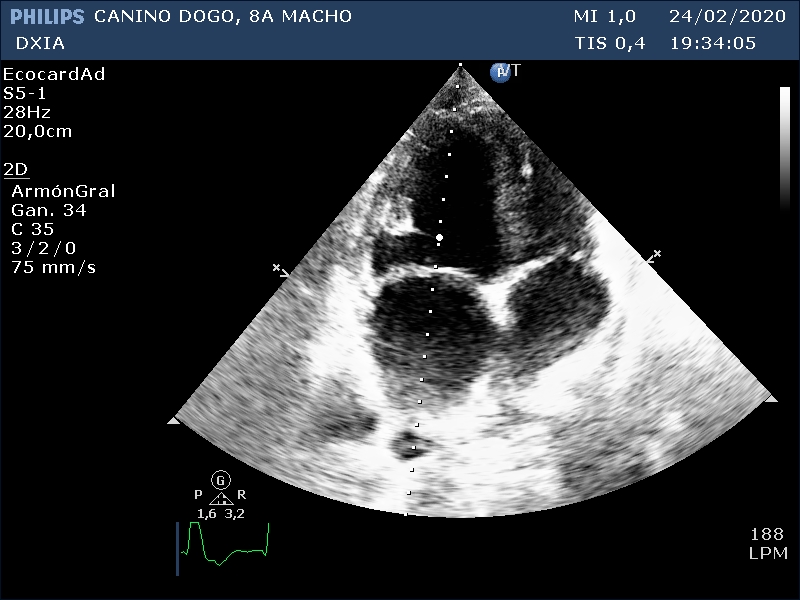
Se realiza estudio ecocardiográfico de urgencia, no siendo posible movilizarlo dado el tamaño del paciente y su estado, por lo que se realiza el estudio sin usar mesa exploratoria.
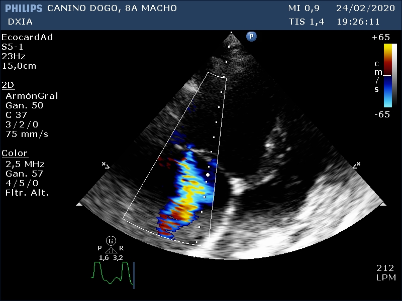
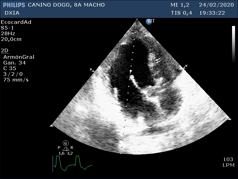
RESULTADOS ESTUDIO ECOCARDIOGRAFICO
Corte apical izquierdo 4 cámaras. Observamos aumento de cámaras cardiacas, cambios grosores paredes
Corte apical izquierdo 4 cámaras. Doppler color en VM observando jet turbulento
Leve engrosamiento nodular valva septal de la VM
Tabla de datos obtenidos:
Comentario respecto al estudio ecocardiográfico:
- Agrandamiento de cámaras derechas e izquierda con disminución grosores paredes cardíacas.
- Valva septal de la VM levemente engrosada con patrón nodular ¿degeneración?
- Varios indicadores de cambios compatibles con fenotipo de CMD.
- ECG fibrilación atrial.
CONCLUSIÓN:
Se recomendó hospitalización con tratamiento para estabilización y pruebas complementarias. No se realizó estudio abdominal. No se conoce evolución del caso.
Tal y como hemos podido ver en los dos casos presentados, encontramos los siguientes aspectos en común a destacar:
- Razas grandes
- Arritmia; Fibrilación atrial
- Ambos casos presentan fenotipo compatible con CMD pero con cambios nodulares en valvas de la VM (endocardiosis o enfermedad degenerativa adquirida de la VM).
- Edad de diagnóstico de la CMD, según estudios, suele ser entre los 6-8 años. Como el caso de nuestros dos pacientes.
- En algunos animales el primer síntoma de la CMD puede ser la muerte súbita. Por tanto, debería valorarse en razas predispuestas realizar estudios previos a la fase sintomática ecocardiográficos y ECG antes de la edad en la que suele diagnosticarse la fase sintomática de la enfermedad.















