Betty – Yorkshine Terrier
Anamnesis e historia clínica
Hembra, 9 años.
Acude a su veterinario hace 72 horas por tos y apatía. No vacunada ni desparasitada recientemente. A la auscultación cardíaca su veterinario no detecta soplo. Se realiza estudio radiográfico del tórax.
Estudio Radiográfico
Pruebas realizadas por su veterinario y aportadas a DXIA.
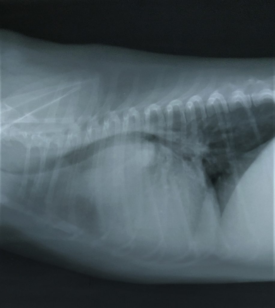
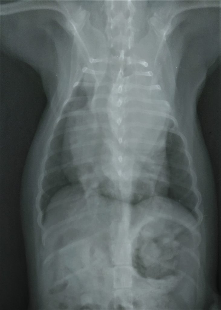
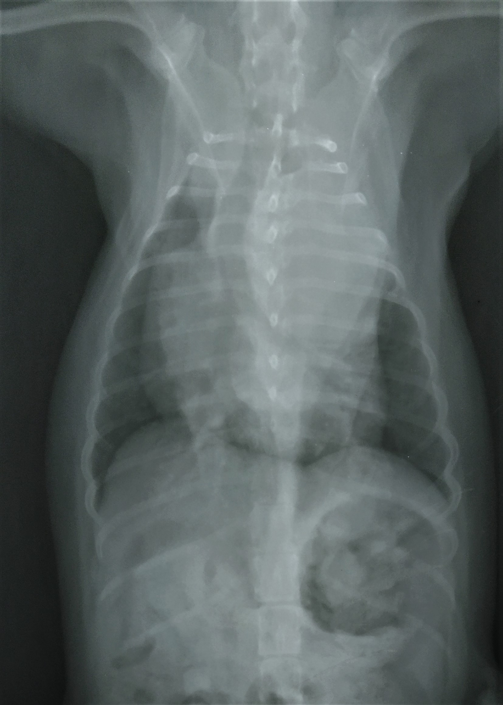
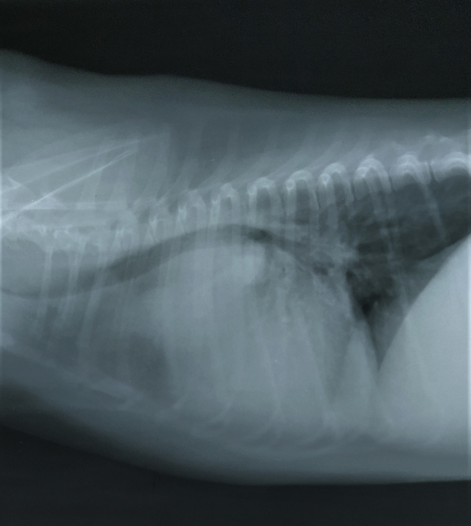
Desplazamiento traquea cranealmente, perdiéndose el ángulo normal que debe tener con la columna. Cardiomegalia derecha sobre todo zona aurícula derecha o base cardíaca. Edema perihiliar leve.
Se observa estructura de densidad tejido blando que se superpone en zona de la silueta cardíaca, correspondiente a la zona de la aurícula derecha produciendo efecto silueta. Cardiomegalia. Aerofagia. Pulmón sin patrón alterado.
Se le pone tratamiento con Furosemida mientras el propietario decide si quiere realizar estudio ecocardiográfico tal y como le indica su veterinario.
Estudio ecográfico realizado por DXIA
El propietario acude a DXIA para realizar el estudio comentando que ha mejorado con la furosemida. La paciente presenta condición corporal 2-3/6, está activa y respiración normal (FR normal). Mucosas sonsorosas, TRC menor de 2 segundos, pulso femoral normal.
Corte apical izquierdo 4 cámras doppler continuo en VM. Valva septal engrosada presentando nodulaciones. Valvas no coaptan correctamente. Flujo regurgitante con GP severo.
Corte apical izquierdo 4 cámras. Doppler tricúspideo. No se observan cambios en morfología de la VT. GP del flujo regurgitante de la VT mayor de 3 m/s, compatible con existencia de HP.
Corte apical izquierdo 4 cámaras. Se observa estructura hipoecogénica en zona del septo interauricular. No dilatación de ventrículos. No cambios en grosores de las paredes cardiacas. No presencia de derrame pericárdico.
Corte en base cardíaca izquierda: Estructura hipoecogénica heterogénea compatible con posible tumor en base cardíaca.
Corte apical izquierdo en 4 cámaras
Corte oblicuo a nivel de la base cardíaca
Diagnóstico
La paciente presenta engrosamiento nodular de la VM con un JET turbulento de GP severo con presencia de hipertensión pulmonar leve. Además, se observa estructura hipoecogénica compatible con posible neoformación en base cardíaca y/o aurícula derecha.
Pruebas complementarias recomendadas
Se recomienda iniciar tratamiento para la enfermedad degenerativa de la VM y revisión ecocardiográfica en 1 mes.
Debido a la existencia de la neoformación en base cardíaca, se recomienda además analítica sanguínea completa, estudio ecográfico abdominal y ANGIO-CARDIO-TAC.
Se recomienda visita oncológica.
Los propietarios deciden no realizar pruebas complementarias, de momento, a la espera de la evolución de la paciente.
Seguimiento del paciente
Pasados casi dos meses, con el tratamiento de la enfermedad cardíaca, la paciente está estable, ya no presenta toses y no se fatiga. Los propietarios aún siguen pensando si hacer o no las pruebas complementarias que se recomendaron pero, de momento, el tumor no está dando sintomatología.





