Historia Clínica Aruas
Cachorro de Teckel macho sin esterilizar.
Se presenta en la clínica con un cuadro agudo de vómitos, apatía, dolor abdominal, pérdida de apetito y abdomen en tabla.
Pruebas Diagnósticas
Se realiza estudio ecográfico abdominal.
- Se realiza estudio combinado transductor de alta y baja frecuencia.
- Línea hiperecogénica con sombra acústica compatible con posible cuerpo extraño.

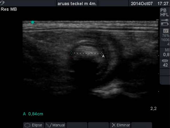
Durante el estudio ecográfico abdominal se observa:
-
- Pared del tracto gastrointestinal con pared en capas mantenidas.
- Asas Yeyunales distendidas con aumento del contenido de patrón líquido con movimientos peristálticos levemente disminuidos.
- Asa Yeyunal cráneo medial a riñón derecho (con paciente en decúbito lateral), con presencia de contenido hipoecogénico que produce sombra acústica limpia, dicha imagen es compatible con posible cuerpo extraño ecovisible de 0,84 cm de diámetro (además asa interior distendida con aumento de contenido de patrón líquido). Además se observa la presencia de múltiples capas intestinales que es compatible con posible invaginación o pseudoinvaginación intestinal, que hace que la imagen previamente descrita además de compatible con posible cuerpo extraño lo sea también con introducción de grasa abdominal.
- Duodeno con imagen compatible con leve intestino corrugado. Imagen compatible con ce lineal, proceso inflamatorio intestinal o peritonitis. No se observa aumento de ecogenicidad de la grasa abdominal que sugiera la peritonitis.
Resto de órganos abdominales econormales en el momento del estudio.
Se procedió a la extirpación quirúrgica por parte de su veterinario donde se confirmó que el cuerpo extraño del paciente era un trozo de tela.